Parodontologie
Tratament parodontal modern – soluții eficiente pentru gingii sănătoase
Această specialitate se ocupă cu tratamentul afecțiunilor țesuturilor în care sunt implantați dinții, respectiv osul, ligamentele intraalveolare (ce prind rădăcina dentară în alveolă) și gingia.
Principala cauză a acestor afecțiuni este placa bacteriană neîndepărtată în totalitate de pe dinți și gingii, adică IGIENA DENTARĂ DEFECTUOASĂ. La debutul bolii apar simptome la nivel gingival (tumefacție, sângerare, spontană sau la periaj); nedepistată la timp, gingivita evoluează, boala parodontală putând duce, în timp, la pierderea dinților. Le recomandăm tuturor pacienților, cu atât mai mult celor cu afecțiuni parodontale, să viziteze cabinetul stomatologic pentru igienizare cel puțin o dată la 6 luni.
Pe lângă factorul bacterian, există o multitudine de factori ce acționează complementar la degradarea țesuturilor parodontale: fumatul, boli sistemice, afecțiuni hormonale, vicii de mușcătură etc.
Boala parodontală, odată instalată, nu este reversibilă; în cel mai fericit caz, poate fi oprită în evoluție. Este o specialitate foarte complexă, cu diferite tehnici de abordare și cu rezultate spectaculoase atunci când terenul biologic și cooperarea pacientului o permit.



10 lucruri esențiale pe care trebuie să le știi despre parodontologie
Parodontologia este una dintre cele mai importante, dar și cel mai des ignorate ramuri ale stomatologiei. Mulți pacienți se concentrează pe dinți, fără să știe că adevărata lor susținere vine din țesuturile din jur. Iată cele mai importante 10 lucruri pe care este bine să le cunoști despre sănătatea parodontală.
1. Parodontologia se ocupă de țesuturile care susțin dinții
Parodontologia studiază și tratează gingiile, osul alveolar, ligamentele și toate structurile care mențin dinții fixați în alveolă. Fără aceste țesuturi sănătoase, dinții nu pot rezista în timp.
2. Gingiile sănătoase nu sângerează
Sângerarea gingivală nu este normală. De cele mai multe ori, ea indică inflamație și este primul semn al unei afecțiuni parodontale.
3. Gingivita este primul stadiu al bolii parodontale
Gingivita apare atunci când placa bacteriană nu este îndepărtată corect. Vestea bună este că acest stadiu este reversibil dacă se intervine la timp.
4. Parodontoza nu apare brusc
Boala parodontală avansează lent și, de multe ori, fără durere. Tocmai de aceea este periculoasă, fiind descoperită frecvent în stadii avansate. Odată începută, boala parodontală evoluează adesea fără simptome dureroase, ceea ce face ca mulți pacienți să o ignore ani la rând. Tocmai această evoluție tăcută permite distrugerea progresivă a osului și a țesuturilor de susținere, până când apar semnele evidente, precum mobilitatea dentară.
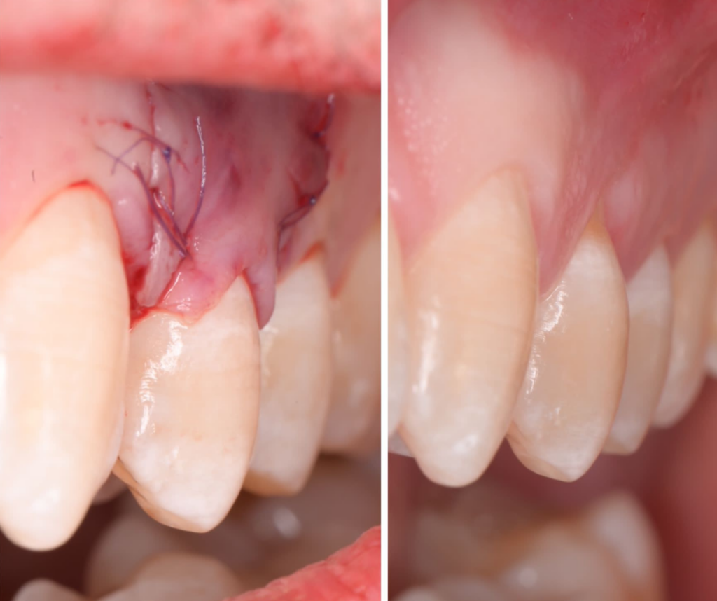
5. Retracțiile gingivale nu sunt normale
Faptul că „se vede rădăcina” nu este un proces firesc al îmbătrânirii. Retracțiile gingivale indică pierdere de țesut și necesită evaluare de specialitate.
6. Există tratamente moderne pentru retracțiile gingivale
Astăzi, parodontologia oferă soluții chirurgicale și minim invazive care pot reface gingia retrasă, protejând rădăcina dintelui și îmbunătățind estetica zâmbetului.
7. Laserul a schimbat radical tratamentele parodontale
Tehnologia laser în parodontologie permite realizarea unor tratamente mult mai precise și mai puțin invazive, reducând semnificativ durerea, sângerarea și inflamația. În același timp, laserul ajută la decontaminarea țesuturilor afectate și stimulează procesele naturale de vindecare, ceea ce duce la o recuperare mai rapidă și la un confort crescut pentru pacient pe parcursul și după intervenție.
8. Respirația urât mirositoare poate avea cauze parodontale
Halitoza persistentă este adesea asociată cu infecțiile gingivale și pungile parodontale, nu doar cu igiena deficitară.
9. Boala parodontală poate duce la pierderea dinților
În lipsa tratamentului, osul care susține dinții se retrage progresiv, iar dinții pot deveni mobili și, în final, se pot pierde.
10. Prevenția este cheia sănătății parodontale
Igiena orală corectă, utilizarea aței dentare, controalele regulate și detartrajele profesionale pot preveni majoritatea problemelor parodontale.
Concluzie
Parodontologia nu este doar despre gingii, ci despre fundația întregii danturi. Cu diagnostic timpuriu și tratamente moderne, sănătatea parodontală poate fi menținută sau chiar restaurată. Ignorarea semnelor timpurii duce la probleme complexe, dar prevenția și intervenția la timp fac diferența.


