Descoperă tarifele TwinDent, accesibile și personalizate
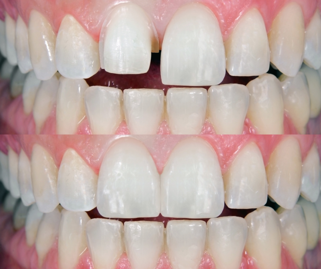
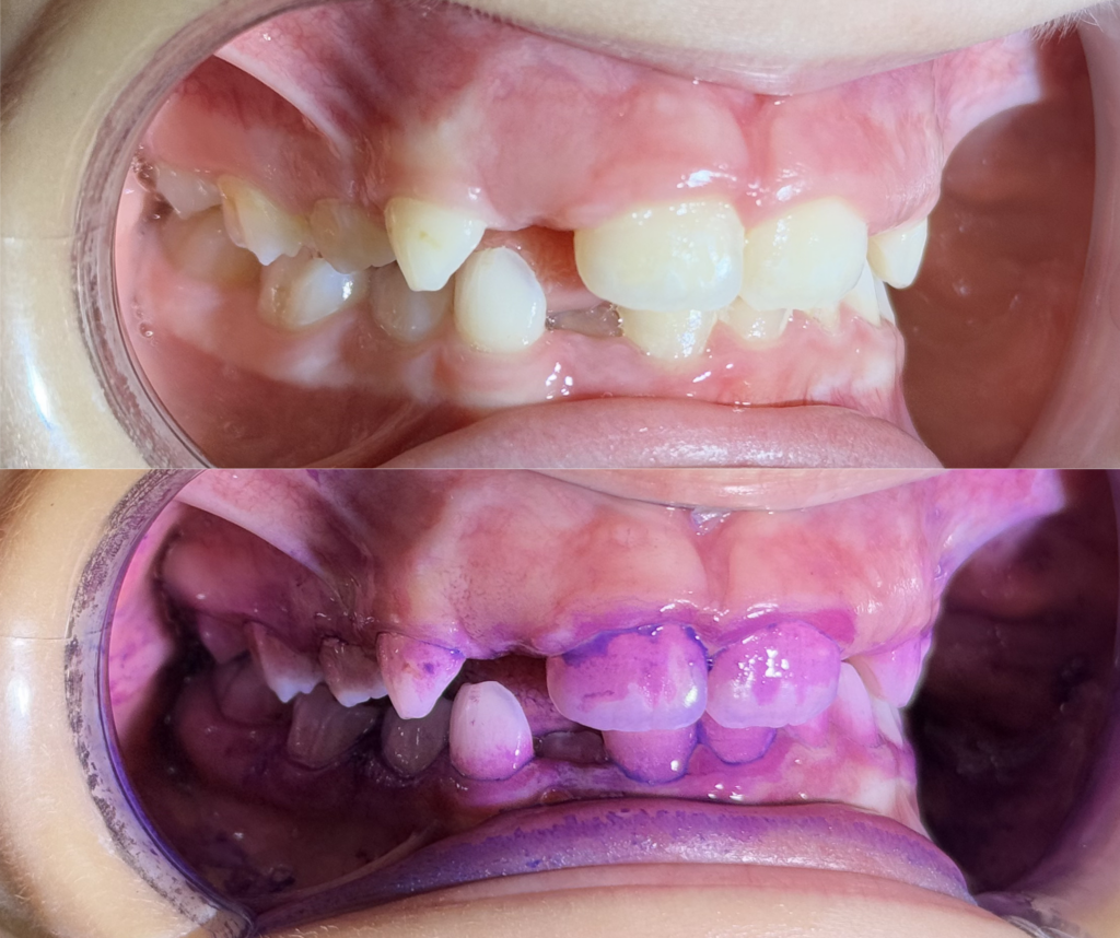
Tarifele stomatologice TwinDent sunt stabilite pe baza unor planuri de tratament stomatologic realizate individual, în urma unei consultații complete în cabinetul stomatologic. Efectuăm fotografii intraorale și evaluări detaliate pentru un diagnostic corect, iar evoluția tratamentului dentar este urmărită atent pe tot parcursul acestuia.
Oferim mai multe opțiuni de tratament dentar, cu tarife stomatologice transparente, explicate clar, pentru ca fiecare pacient să poată lua cea mai bună decizie, adaptată nevoilor sale de sănătate orală și bugetului disponibil.











