Protetică
Reabilitare dentară funcțională și estetică
Protetica dentară este ramura stomatologiei care se ocupă cu refacerea dinților ce prezintă distrucții extinse, dar și cu înlocuirea dinților lipsă de pe arcadă.
Cu ce vă putem ajuta noi?
- Refacerea unor dinți distruși prin acoperirea cu coroane dentare (metalo-ceramice, ceramice, zirconice);
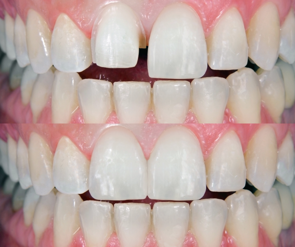
- Fațete dentare;
- Punți dentare;
- Lucrări pe implanturi dentare;
- Proteze scheletate;
- Proteze totale
Când distrucția coronară este mai mică (nu se poate realiza o obturație), vom folosi incrustațiile, iar când distrucția coronară este mare, recurgem la coroanele dentare. Punțile dentare le folosim pentru suplinirea unuia sau mai multor dinți lipsă, acoperind locul creat de pierderea dinților. Când avem mai mulți dinți de înlocuit, recurgem la protezare mobilă, care poate fi realizată prin proteze parțiale sau proteze totale (“placă”), atunci când trebuie înlocuiți toți dinții de pe un maxilar.


Tu știi când este esențial să pui o coroană estetică din ceramică sau zirconiu?
O coroană estetică din ceramică sau zirconiu nu este doar o alegere de frumusețe, ci una medicală și funcțională, cu impact direct asupra sănătății dintelui pe termen lung. Este esențială în următoarele situații:
- După tratamentul endodontic (tratament de canal)
Dintele devitalizat devine mai fragil și predispus la fracturi. Coroana îl protejează și îi crește semnificativ durata de viață. - Când distrucția coronară este extinsă
Dacă mai mult de 50% din structura dintelui este pierdută, obturațiile simple nu mai oferă rezistență suficientă. - În zona frontală (dinții vizibili)
Coroanele integral ceramice sau din zirconiu oferă transluciditate și culoare naturală, fără margini gri inestetice. - Pentru dinți devitalizați cu modificări de culoare
Ceramica și zirconiu maschează eficient discromiile interne, oferind un zâmbet uniform și luminos. - În cazul forțelor masticatorii mari
Zirconiul este extrem de rezistent, fiind ideal pentru dinții posteriori sau pentru pacienții cu bruxism. - La pacienți cu alergii sau sensibilitate la metale
Materialele integral ceramice sunt biocompatibile și bine tolerate de țesuturile gingivale. - Pentru restaurări pe implant dentar
Coroanele din zirconiu oferă stabilitate, estetică superioară și integrare gingivală excelentă. - Când se dorește o soluție durabilă și predictibilă
Coroanele estetice moderne au o rată mare de succes și își mențin aspectul în timp.
Când NU este necesară o coroană protetică?
1. Distrucția dentară este minimă
Dacă dintele are o structură coronară bine păstrată, o obturație (plombă) corect realizată poate fi suficientă.
2. Dintele nu a fost tratat endodontic
Dinții vitali, integri structural, nu necesită acoperire cu coroană doar din motive preventive.
3. Leziunile sunt limitate și accesibile
Cariile mici sau medii pot fi tratate eficient prin restaurări directe din compozit.
4. Este vorba despre o corecție estetică minoră
Defectele de formă sau culoare ușoare pot fi corectate prin albire, bonding sau fațete, fără sacrificiu suplimentar de țesut dentar.
5. Există spațiu insuficient pentru o coroană corect adaptată
Fără o preparare adecvată și ocluzie favorabilă, coroana poate deveni un factor de risc, nu de protecție.
Amprentarea dentară digitală: tehnologia care a înlocuit metodele clasice
În stomatologia modernă, amprentele dentare clasice, cu linguri metalice și materiale care provocau disconfort sau reflex de vomă, nu mai sunt standardul.
Astăzi se folosesc scannerele orale digitale, o tehnologie modernă, rapidă și precisă.
Cum funcționează amprentarea digitală?
- Medicul folosește un scanner oral, o piesă mică, confortabilă, care se plimbă ușor peste dinți.
- Scannerul captează mii de imagini pe secundă.
- În câteva minute, se obține o amprentă dentară digitală 3D, afișată direct pe ecran.
- Datele sunt trimise instant către laborator, fără materiale, fără gust neplăcut, fără greață.



